中延駅すぐの中延駅前歯科|予防歯科・審美歯科・矯正歯科・インプラント

〒142-0042 東京都品川区豊町6-24-13 1F
都営浅草線 中延駅 A1出口 徒歩10秒

診療時間
9:00~13:00 ×
14:30~18:30 ×

休診日:日曜・祝日

ご予約・お問合せはこちら

03-5750-0418

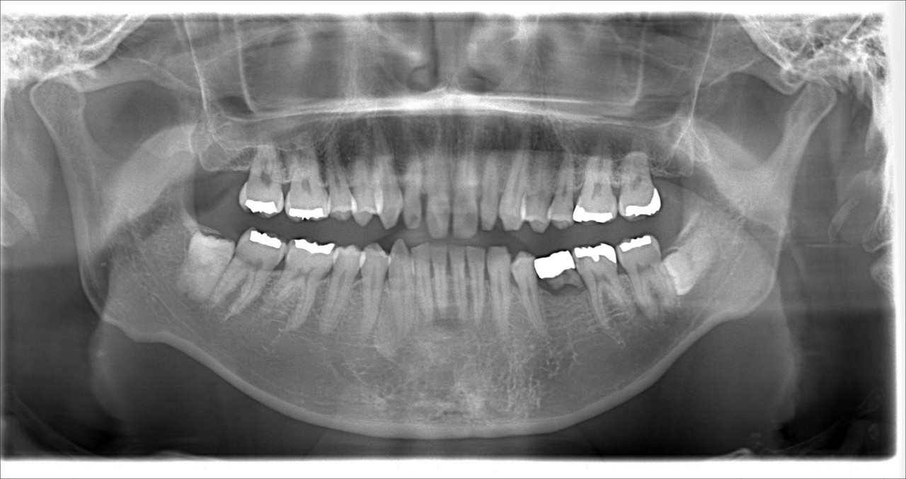
インプラント症例一覧

インプラント症例

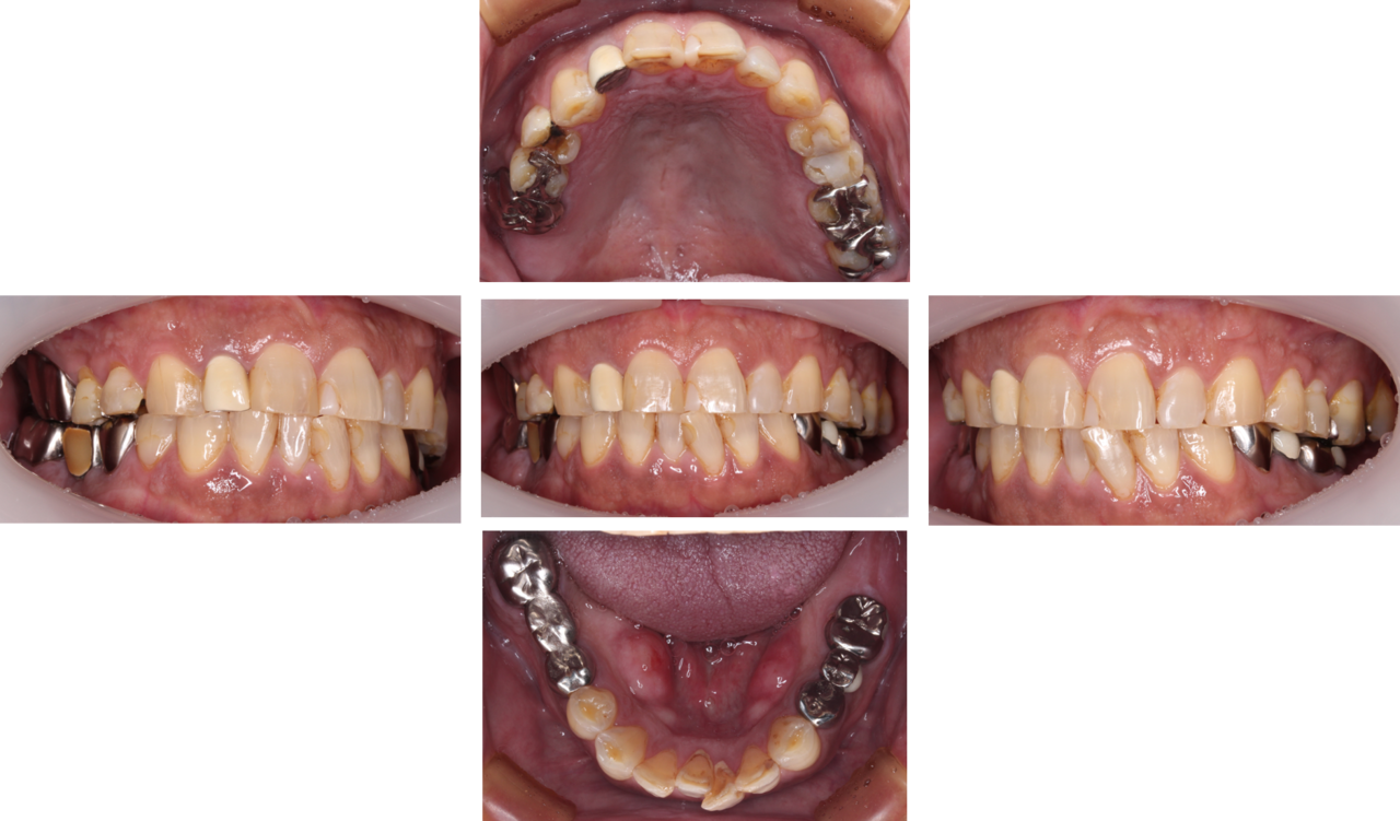
奥歯のインプラント症例

治療前

治療後

治療内容

左奥歯1本をインプラント治療で修復しました。

期間 約6か月
費用 税込42万円
起こりうる副作用・リスク 保険外治療です。
手術後にインプラントの定期メンテナンスを怠ってしまうと、インプラント周囲炎になるリスクが高まります。

ご不明な点がございましたらお気軽にお問合せください。

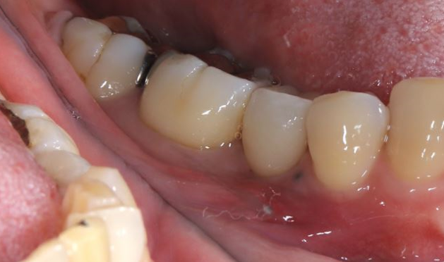
奥歯のインプラント症例②

治療前

治療後

治療内容

左側の奥歯2本が折れている&欠損しており、奥歯できちんと食事をしたいというご要望でしたので、インプラント治療を行いました。

期間 約4か月
費用 税込85.5万円
起こりうる副作用・リスク 保険外治療です。
手術後にインプラントの定期メンテナンスを怠ってしまうと、インプラント周囲炎になるリスクが高まります。

ご不明な点がございましたらお気軽にお問合せください。

奥歯のインプラント症例③

治療前

治療後

治療内容

左側の奥歯3本の歯を失っており、かつ右側の奥歯のブリッジが破折していたため食べ物をうまく噛めないということでインプラント治療を行いました。

期間 4か月
費用 税込220万円
起こりうる副作用・リスク 保険外治療です。
手術後にインプラントの定期メンテナンスを怠ってしまうと、インプラント周囲炎になるリスクが高まります。

ご不明な点がございましたらお気軽にお問合せください。

奥歯のインプラント症例④

治療前

治療後

治療内容

歯根破折した奥歯へインプラント治療を行いました。

期間 3か月
費用 税込42万円
起こりうる副作用・リスク 保険外治療です。
手術後にインプラントの定期メンテナンスを怠ってしまうと、インプラント周囲炎になるリスクが高まります。

ご不明な点がございましたらお気軽にお問合せください。

奥歯のインプラント症例⑤

治療前

治療後

治療内容

以前抜歯した部分にインプラントを入れました。

期間 4か月
費用 税込44万円
起こりうる副作用・リスク 保険外治療です。
手術後にインプラントの定期メンテナンスを怠ってしまうと、インプラント周囲炎になるリスクが高まります。

ご不明な点がございましたらお気軽にお問合せください。

奥歯のインプラント症例⑥

治療前

治療後

治療内容

以前抜歯した部分にインプラントを入れました。副鼻腔粘膜を挙上して骨再生をしています。

期間 4か月
費用 税込90万円
起こりうる副作用・リスク 保険外治療です。
手術後にインプラントの定期メンテナンスを怠ってしまうと、インプラント周囲炎になるリスクが高まります。

ご不明な点がございましたらお気軽にお問合せください。

奥歯のインプラント症例⑦

治療前

治療後

治療内容

抜歯と同時にインプラントを入れました。

期間 5か月
費用 税込148万5千円
起こりうる副作用・リスク 保険外治療です。
手術後にインプラントの定期メンテナンスを怠ってしまうと、インプラント周囲炎になるリスクが高まります。

ご不明な点がございましたらお気軽にお問合せください。

ブリッジからインプラントへの症例

治療前

治療後

治療内容 下顎のブリッジ(3か所)の支台歯が虫歯になってしまったため、インプラント治療を行いました。
期間 3か月
費用 税込176万円
起こりうる副作用・リスク 保険外治療です。
手術後にインプラントの定期メンテナンスを怠ってしまうと、インプラント周囲炎になるリスクが高まります。

ご不明な点がございましたらお気軽にお問合せください。

ブリッジからインプラントへの症例②

治療前

治療後

治療内容 ブリッジの支台はが壊れて、インプラントを入れました。
期間 3か月
費用

補綴治療:税抜き9万円

インプラント:税抜き45万円×2本

起こりうる副作用・リスク 手術後にインプラントの定期メンテナンスを怠ってしまうと、インプラント周囲炎になるリスクが高まります。

ご不明な点がございましたらお気軽にお問合せください。

前歯のインプラント症例

治療前

治療後

治療内容

左上の歯が歯ぎしりによって歯根破折(歯の根にヒビが入ったり、割れたししてしまう)になったため、インプラント埋入をしました。

期間 3か月
費用 税込44万円
起こりうる副作用・リスク 保険外治療です。
手術後にインプラントの定期メンテナンスを怠ってしまうと、インプラント周囲炎になるリスクが高まります。

ご不明な点がございましたらお気軽にお問合せください。

前歯のインプラント症例②

治療前

治療後

治療内容

ペリオで治療が必要な前歯3本をインプラント治療で修復しました。

期間 約6か月
費用 税込88万円
起こりうる副作用・リスク 保険外治療です。
手術後にインプラントの定期メンテナンスを怠ってしまうと、インプラント周囲炎になるリスクが高まります。

ご不明な点がございましたらお気軽にお問合せください。

前歯のインプラント症例③

治療前

治療後

治療内容

外傷で歯を失った患者様に 矯正治療後に インプラントを入れました。

期間 矯正治療:12ヶ月、インプラント:3ヶ月
費用 矯正治療:税抜き85万円、インプラント:税抜き45万円
起こりうる副作用・リスク 手術後にインプラントの 定期メンテナンスを怠ってしまうと、 インプラント周囲炎になる リスクが高まります。

ご不明な点がございましたらお気軽にお問合せください。

前歯のインプラント症例④

治療前

治療後

治療内容

支台歯が折れて インプラントを入れました

期間 インプラント+歯肉移植:6ヶ月 
費用

歯肉移植:税抜き9万円×2本

インプラント:税抜き45万円×2本

起こりうる副作用・リスク 手術後にインプラントの 定期メンテナンスを怠ってしまうと、 インプラント周囲炎になる リスクが高まります。

ご不明な点がございましたらお気軽にお問合せください。

ブリッジが破損してインプラントにした症例

治療前

治療後

治療内容

はぎしりのため、ブリッジが破損してしまった箇所にインプラント埋入をしました。

期間 3か月
費用 税込132万円
起こりうる副作用・リスク 保険外治療です。
手術後にインプラントの定期メンテナンスを怠ってしまうと、インプラント周囲炎になるリスクが高まります。

ご不明な点がございましたらお気軽にお問合せください。

乳歯が残っていた方へのインプラント症例

治療前

治療後

治療内容

乳歯が残っており、歯が安定せずにグラグラしてしまっていたためインプラントを埋入しました

期間 2.5か月
費用 税込44万円
起こりうる副作用・リスク

保険外治療です。
手術後にインプラントの定期メンテナンスを怠ってしまうと、インプラント周囲炎になるリスクが高まります。

ご不明な点がございましたらお気軽にお問合せください。

歯根破折のインプラント症例①

治療前

治療後

治療内容

歯根破折(歯の根にヒビが入ったり、割れたりする)している箇所をインプラントしました。

期間 3か月
費用 税込88万円
起こりうる副作用・リスク

保険外治療です。
手術後にインプラントの定期メンテナンスを怠ってしまうと、インプラント周囲炎になるリスクが高まります。

ご不明な点がございましたらお気軽にお問合せください。

歯根破折のインプラント症例②

治療前

治療後

治療内容

歯根破折(歯の根にヒビが入ったり、割れたりする)している箇所をインプラントしました。

期間 3か月
費用 税込44万円
起こりうる副作用・リスク

保険外治療です。
手術後にインプラントの定期メンテナンスを怠ってしまうと、インプラント周囲炎になるリスクが高まります。

ご不明な点がございましたらお気軽にお問合せください。

無料で、歯科医師による歯並び&インプラントのご相談ができます!
ぜひお気軽にご相談ください。
※矯正・インプラント以外のご相談・ご連絡についてはご返信ができませんので予めご了承ください。

検診・歯石取り・歯のクリーニング・フッ素塗布などもご予約いただけます。3ヶ月先のご予約もお気軽にどうぞ。

03-5750-0418

診療時間

 
午前 ×
午後 ×

午前:9:00~13:00
午後:14:30~18:30

休診日:日曜日・祝日

03-5750-0418

〒142-0042
東京都品川区豊町6-24-13 1F
都営浅草線 中延駅 A1出口 徒歩10秒