中延駅すぐの中延駅前歯科|予防歯科・審美歯科・矯正歯科・インプラント

〒142-0042 東京都品川区豊町6-24-13 1F
都営浅草線 中延駅 A1出口 徒歩10秒

診療時間
9:00~13:00 ×
14:30~18:30 ×

休診日:日曜・祝日

ご予約・お問合せはこちら

03-5750-0418

当院のホワイト二ング症例一覧

ホワイトニング症例

20代女性のオフィスホワイトニング症例
(結婚式前のホワイトニング)

ホワイトニング前

ホワイトニング後

治療内容 結婚式前に白い歯にされたいというご要望でした。オフィスホワイトニングを3回施術いたしました。
期間 1回75分×3回(1週間に1度)
費用 税込59,400円(税込19,800円×3回)
起こりうる副作用・リスク もともと知覚過敏がある方は、施術後に沁みやすくなることがあります。

ご不明な点がございましたらお気軽にお問合せください。

20代女性のオフィスホワイトニング症例
(矯正治療後のホワイトニング)

ホワイトニング前

ホワイトニング後

治療内容 矯正治療を終えられた方で、より白い美しい口元にされたいというご要望でした。オフィスホワイトニングを2回施術いたしました。また、歯が欠けてしまっていた箇所にジルコニアセラミックも施術しました。
期間 1回75分×2回(1週間に1度)
費用 税込39,600円(税込19,800円×2回)
起こりうる副作用・リスク もともと知覚過敏がある方は、施術後に沁みやすくなることがあります。

ご不明な点がございましたらお気軽にお問合せください。

20代女性のオフィスホワイトニング症例
(撮影のお仕事前のホワイトニング)

ホワイトニング前

ホワイトニング後

治療内容 撮影のお仕事の前により白い美しい口元にされたいというご要望でした。オフィスホワイトニングを2回施術いたしました。
期間 1回75分×1回(1週間に1度)
費用 税込19,800円
起こりうる副作用・リスク もともと知覚過敏がある方は、施術後に沁みやすくなることがあります。

ご不明な点がございましたらお気軽にお問合せください。

失活歯のインターナルブリーチ症例
(変色した神経のない歯のホワイトニング)

インターナルブリーチ前

インターナルブリーチ後

治療内容 前歯が失活歯(変色した神経のない歯)となってしまった患者様へ、インターナルブリーチ(歯の内部にホワイトニング剤をいれて白くする方法)を行いました。
期間 1回15分×3回(1週間に1度)
費用 税込19,800円
起こりうる副作用・リスク 完璧に周りの歯の色と合わせることが難しいケースもあります。

ご不明な点がございましたらお気軽にお問合せください。

ガムピーリング&ホワイトニング症例

ホワイトニング前

ホワイトニング後

治療内容 歯茎の黒ずみを、ガムピーリングにて改善しました。またホワイトニングも実施し、歯の白さも取り戻しました。
期間 2週間
費用 ホワイトニング税込19,800円
ガムピーリング税込5500円
起こりうる副作用・リスク もともと知覚過敏がある方は、施術後に沁みやすくなることがあります。

ご不明な点がございましたらお気軽にお問合せください。

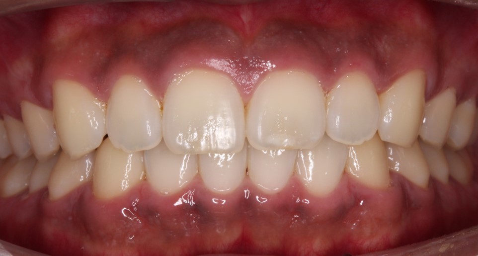
ホワイトニング症例

ホワイトニング前

ホワイトニング後

治療内容 フィスホワイトニング2回とダイレクトボンディング1回
期間 3日
費用

オフィスホワイトニング 1回

19,800円(税込)✖️2回

ダイレクトボンディング6歯

1歯16,500円(税込)✖️6歯

起こりうる副作用・リスク もともと知覚過敏がある方は、施術後に沁みやすくなることがあります。

ご不明な点がございましたらお気軽にお問合せください。

検診・歯石取り・歯のクリーニング・フッ素塗布などもご予約いただけます。3ヶ月先のご予約もお気軽にどうぞ。

03-5750-0418

診療時間

 
午前 ×
午後 ×

午前:9:00~13:00
午後:14:30~18:30

休診日:日曜日・祝日

03-5750-0418

〒142-0042
東京都品川区豊町6-24-13 1F
都営浅草線 中延駅 A1出口 徒歩10秒